Nang chân răng là một trong những bệnh lý răng miệng nguy hiểm nhưng thường bị bỏ qua do tiến triển âm thầm, ít gây đau trong giai đoạn đầu. Nếu không được phát hiện và điều trị kịp thời, nang có thể phát triển lớn, phá hủy xương hàm và ảnh hưởng đến sức khỏe toàn thân. Vậy nang chân răng là gì và có thể chữa khỏi được không? Hãy cùng Nha khoa Hina tìm hiểu chi tiết trong bài viết này.
Nang chân răng là gì?
Nang chân răng (hay còn gọi là nang quanh chóp răng) là túi dịch chứa mủ hoặc mô hoại tử hình thành ở vùng chóp chân răng. Nguyên nhân chủ yếu là do vi khuẩn xâm nhập từ tủy răng viêm, chấn thương hoặc điều trị tủy không triệt để. Nang có thể phát triển âm thầm trong nhiều tháng, thậm chí nhiều năm mà không có triệu chứng rõ rệt.

Nguyên nhân gây nang chân răng
Một số nguyên nhân phổ biến dẫn đến nang chân răng bao gồm:
-
Viêm tủy răng mạn tính không được điều trị kịp thời.
-
Chấn thương răng gây tổn thương vùng chóp.
-
Răng sâu nặng, nhiễm khuẩn kéo dài.
-
Thủ thuật nha khoa sai kỹ thuật, chẳng hạn như trám hoặc điều trị tủy không sạch.
-
Răng mọc ngầm hoặc mọc lệch, đặc biệt là răng khôn, gây viêm nhiễm vùng quanh chóp.
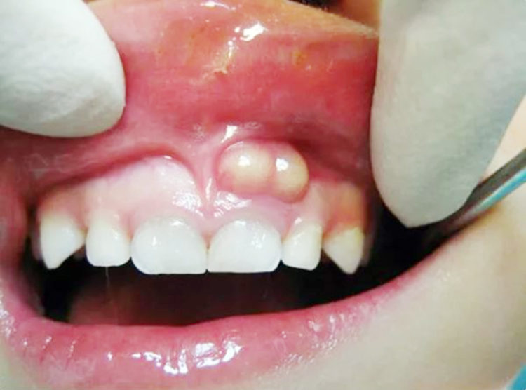
Dấu hiệu nhận biết nang chân răng
Ban đầu, nang chân răng thường không gây đau nên nhiều người dễ chủ quan. Tuy nhiên, khi nang phát triển, bạn có thể gặp các dấu hiệu sau:
-
Sưng nhẹ vùng nướu hoặc mặt tại vị trí răng bị tổn thương.
-
Đau âm ỉ hoặc đau nhói khi nhai.
-
Răng đổi màu, lung lay nhẹ.
-
Nướu xuất hiện mụn mủ nhỏ, có thể chảy dịch.
-
Hơi thở có mùi hôi do nhiễm khuẩn.
Nếu không được điều trị, nang có thể phát triển lớn, phá hủy xương hàm, gây tiêu xương ổ răng, thậm chí lan sang các răng kế cận.
Nang chân răng có nguy hiểm không?
Câu trả lời là có. Nang răng nếu để lâu không chỉ gây mất răng, mà còn tiềm ẩn nguy cơ nhiễm trùng lan tỏa, viêm xương hàm, hoặc thậm chí áp xe răng. Trong một số trường hợp nặng, người bệnh có thể bị sưng mặt, sốt cao, đau nhức dữ dội, ảnh hưởng đến sức khỏe toàn thân.
Nang chân răng có thể chữa được không?
Tin vui là nang chân răng hoàn toàn có thể chữa khỏi nếu được phát hiện sớm và điều trị đúng cách. Tùy theo kích thước và mức độ lan rộng, bác sĩ sẽ lựa chọn phương pháp phù hợp:
1. Điều trị nội nha (lấy tủy răng)
Áp dụng cho nang nhỏ, chưa phá hủy nhiều xương. Bác sĩ sẽ tiến hành làm sạch ống tủy, loại bỏ vi khuẩn và mô hoại tử, sau đó trám kín ống tủy để ngăn ngừa tái nhiễm.
2. Phẫu thuật cắt chóp và loại bỏ nang
Nếu nang phát triển lớn, bác sĩ sẽ thực hiện tiểu phẫu cắt chóp chân răng, loại bỏ toàn bộ túi nang và làm sạch vùng xương bị tổn thương. Sau đó, phần chóp răng được trám lại để ngăn ngừa vi khuẩn tái xâm nhập.
3. Nhổ răng kết hợp nạo nang
Trong trường hợp răng bị hư hại nặng không thể giữ lại, bác sĩ sẽ nhổ răng và nạo sạch nang để ngăn chặn biến chứng lan rộng. Sau khi ổn định, có thể phục hình lại bằng cấy ghép Implant để đảm bảo chức năng ăn nhai và thẩm mỹ.

Điều trị nang chân răng tại Nha khoa Hina
Tại Nha khoa Hina, quy trình điều trị nang chân răng được thực hiện an toàn và chính xác:
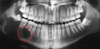
-
Chụp phim X-quang 3D Conebeam CT để xác định vị trí và kích thước nang.
-
Lập kế hoạch điều trị chi tiết phù hợp với từng trường hợp.
-
Thực hiện điều trị tủy hoặc phẫu thuật cắt chóp dưới điều kiện vô trùng tuyệt đối.
-
Theo dõi và tái khám định kỳ để đảm bảo nang không tái phát.
Với bác sĩ Hiệp cùng đội ngũ chuyên môn giàu kinh nghiệm, kết hợp trang thiết bị hiện đại, Nha khoa Hina cam kết mang lại kết quả điều trị an toàn, không đau và hiệu quả lâu dài.
Cách phòng ngừa nang chân răng
-
Vệ sinh răng miệng đúng cách: Đánh răng ít nhất 2 lần/ngày và dùng chỉ nha khoa.
-
Khám nha khoa định kỳ 6 tháng/lần để phát hiện sớm các bệnh lý răng miệng.
-
Điều trị triệt để răng sâu, viêm tủy ngay từ giai đoạn đầu.
-
Tránh chấn thương răng, đặc biệt khi chơi thể thao hoặc ăn đồ cứng.
Nang chân răng là bệnh lý không nên chủ quan. Việc phát hiện sớm và điều trị kịp thời tại cơ sở nha khoa uy tín như Nha khoa Hina sẽ giúp bạn bảo tồn răng thật và ngăn ngừa biến chứng nghiêm trọng. Nếu bạn nghi ngờ có dấu hiệu viêm quanh chóp hoặc sưng đau bất thường, hãy liên hệ ngay bác sĩ Hiệp để được thăm khám và tư vấn chi tiết.









