Niềng răng có ảnh hưởng đến sức khỏe không

Niềng Răng – Giải Pháp Hoàn Hảo Cho Nụ Cười Tự Tin Và Sức Khỏe Răng Miệng

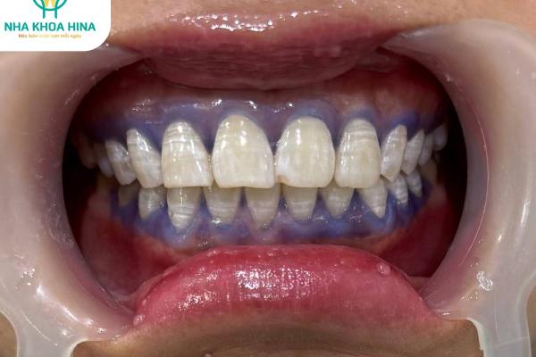
Niềng răng không chỉ giúp cải thiện thẩm mỹ mà còn đóng vai trò quan trọng trong việc nâng cao sức khỏe răng miệng. Hiện nay, ngày càng nhiều người lựa chọn niềng răng để sở hữu hàm răng đều đẹp, khớp cắn chuẩn và nụ cười tự tin. Trong bài viết này, Nha khoa Hina sẽ chia sẻ chi tiết về lợi ích của niềng răng, các phương pháp phổ biến, và những điều bạn cần lưu ý trước khi quyết định thực hiện.

Bài viết nổi bật

Mất ngủ vì đau răng khôn? Giải pháp hiệu quả tại Nha khoa Hina

Mất ngủ vì đau răng khôn? Giải pháp hiệu quả tại Nha khoa Hina

Đau răng khôn là nỗi ám ảnh của rất nhiều người...

Niềng răng là gì? Những điều cần biết trước khi quyết định niềng răng

Niềng răng là gì? Những điều cần biết trước khi quyết định niềng răng

Niềng răng hay còn gọi là chỉnh nha, là một thuật ngữ được sử dụng trong nha khoa, là giải pháp...

Bọc răng sứ

Bọc răng sứ là gì? Những trường hợp nên sử dụng phương pháp này

Trong ngành nha khoa hiện đại, bọc răng sứ đã trở thành một trong những phương...

NHỮNG CÂU KHÁCH HÀNG THƯỜNG HỎI SAU KHI ĐI KHÁM NIỀNG RĂNG?

NHỮNG CÂU KHÁCH HÀNG THƯỜNG HỎI SAU KHI ĐI KHÁM NIỀNG RĂNG?

Một nụ cười đều đẹp và chức năng tốt là điều tuyệt vời mà ai cũng đều mong muốn. Tuy nhiên,...

Niềng Răng Cắn Ngược – Không Chỉ Để Đẹp, Mà Để Bảo Vệ Khớp Cắn

Niềng Răng Cắn Ngược – Không Chỉ Để Đẹp, Mà Để Bảo Vệ Khớp Cắn

Niềng răng cắn ngược là một trong những giải pháp nha khoa quan trọng giúp cải...

Khi Nào Cần Nhổ Răng Và Khi Nào Cần Trồng Răng

Khi Nào Cần Nhổ Răng và Khi Nào Cần Trồng Răng

Việc xác định khi nào cần nhổ răng và...